Richard Haber DDS   

 

 

Cosmetic Dentist                            Dental Veneers                            

santa monica Aetna dental dentist

    Dental Veneers    

      

..

..

  Implants Dentistry ,

      Digital Xrays      

 

  

  Dental Implant
 

1260  15th St  # 701  .

Santa Monica  CA 90404  .

Tel: (310) 393-7766  .

Fax: (310) 394-8066  .

   

 

 

Santa Monica Dental Implant

 

                          

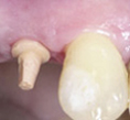
Dental implant is a small titanium cylinders that is embedded in the bone of the jaw. It act as a replacement for the tooth's original root system. Bone is continuously lost after teeth have been lost. Dental Implant helps keep the bone from receding . Dental implant is more tooth-saving than traditional bridgework, since dental implant do not rely on neighboring teeth for support.. Some people are just not able to comfortably wear an upper or lower denture, dental implant provides support for a denture, making it more secure and comfortable.

 

 

 

 

Dr Haber places a very special emphasis on reconstructive, full mouth rehabilitation, cosmetic and restorative dentistry and uses a variety of dental implant technologies. The results leave his Santa Monica patients with permanent, natural-looking, beautiful teeth.

 

 

 

 

Richard Haber DDS 

Cosmetic Dentist Santa Monica Dental Veneers Implant  dentistry

 

Serving:

Santa Monica, Malibu, Pacific Palisades, West Los Angeles, Marina Del Rey, Brentwood, Westwood, Beverly Hills

 

1260  15th St  # 701  Santa Monica  CA 90404   Tel: (310) 393-7766

 

 


 

 

Offering The Latest Technology


  • Digital Xrays

  • Intraoral Cameras

  • Digital Imaging

  • Educational DVDs

  • Chairside computers &
    computerized files

  • Fully networked office

  • Internet access

  • Cosmetic dentistry

 

Performing Distinctive Dentistry


  • Teeth whitening

  • Dental Veneers

  • Dental Bonding

  • Tooth-colored fillings

  • Mercury free fillings

  • Smile contouring

  • Full mouth reconstruction

  • Custom crowns & bridges

  • Dentures

  • Non surgical  Gum Care

  • Gum treatment

  • Periodontal treatment

         

.          

Cosmetic Dentist

Dental Implant Cosmetic Dentistry

Santa Monica Cosmetic Implant Dentistry Cosmetic Dentistry

Richard Haber DDS, Cosmetic Dentist Porcelain Veneers Dental Implants Cosmetic Dentist

reconstruction biteocclusion veneers lumineer severestains crowns orthodontics

 

 

Richard Haber DDS
Los Angeles Cosmetic Dentistry
Los Angeles Sedation Dentistry
Los Angeles Porcelain Veneers
Los Angeles Da Vinci Veneers
Los Angeles General Dentistry
Los Angeles Teeth Whitening
Los Angeles Zoom Dentist
Los Angeles Brite Smile Dentist
Los Angeles Smile Makeover Dentist
Los Angeles Dental Implants
Los Angeles Neuro Muscular Dentistry
Los Angeles Crowns & Bridges
Los Angeles Root Canal Treatment
Tooth Colored Fillings
Los Angeles TMJ Dentist
Complete & Partial Dentures in Los Angeles
Gum Disease Dentist in Los Angeles
Dental Bonding Dentist in Los Angeles
Digital Imaging
Laser Surgery Dentist in Los Angeles
Mercury Free Fillings in Los Angeles
Nitrous Oxide

 

 

 

 

 

» General Dentistry
» Prosthothodontics
» Cosmetic Dentistry
» Complete & Partial Dentures
» Crowns & Bridges
» Dental Implants
» Porcelain Facings (Veneers)
» Teeth Whitening
» Treatment of TMJ Disorders
» Tooth Color Fillings
» Endodonntics (Root Canal)
» Treatment of Gum Disease
» Teeth Cleaning
cosmetic dentist in Los Angeles  cosmetic dentist in Los Angeles  Los Angeles Dentist  Los Angeles Cosmetic Dentistry  Los Angeles Dentist   Los Angeles Cosmetic Dentistry

links

Home

Our Mission

Meet the Doctors      Dental Services

Tour the Facility

Infection Control   Photo Gallery   Testimonials

Payment Options

Location

Contact Us

cities

cities2

sitelinks

sitemap

 

Los Angeles dentists     advances in dental science  modern dental technology and cosmetic dentistry

practice   dental professionals in Los Angeles  dental photo gallery   Los Angeles area dental patients

Dr. Richard Haber, Cosmetic Dentist, Los Angeles, California
Serving:
West Los Angeles, Beverly Hills, Brentwood, Santa Monica and the greater Los Angeles area

 

Home Page

 Dr. Richard Haber

Our Office

Office Location

Patient Testimonials

Patient Before and After Photos

Contact Us

cosmetic dentist in Los Angeles  cosmetic dentist in Los Angeles  Los Angeles Dentist  Los Angeles Cosmetic Dentistry  Los Angeles Dentist   Los Angeles Cosmetic Dentistry

 

General Dentistry Services  

Dental Implants  

Holistic Dentistry  

Smile Rejuvenation

Sleep Dentistry, Sedation Dentistry

Dental Extreme Makeover

Full-Mouth    Reconstruction

Cosmetic Dentistry

Porcelain Veneers

Tooth Bonding

Teeth-Whitening

TMJ / Myofacial Pain

Invisalign

sitelinks

Links

cities

cities2

Copyright / Privacy

West Los Angeles Office Direction

Beverly Hills Office Direction

Santa Monica Office Direction

Brentwood Office Direction

Richard Haber DDS, Cosmetic Dentist, Los Angeles, California
Serving:
West Los Angeles, Beverly Hills, Brentwood, Santa Monica and the greater Los Angeles area

Santa Monica, Malibu, Pacific Palisades, West Los Angeles, Marina Del Rey, Brentwood, Westwood, Beverly Hills

cosmetic dentist in Los Angeles  cosmetic dentist in Los Angeles  Los Angeles Dentist  Los Angeles Cosmetic Dentistry  Los Angeles Dentist  Los Angeles Cosmetic Dentistry

 

Member of American Academy of Cosmetic Dentistry

Member of American Dental Association

Member of California Dental Association

Invisalign


[ Home ] [ Credentials ] [Gallery ] [ Patient Safety ] [ Testimonials ] [ Ask the Dentist ]
[ Implants ] [ Makeovers ] [ Occlusion ] [ Veneers ] [ Dental Stains ] [ Lumineers ]
[ Extreme Makeover ] [ Porcelain Crowns ] [ Instant Orthodontics ]
[ Trauma Dentistry ] [ Smile Lift ] [ Best Dentist ]

 

General Dentistry Services

cities2

Dental Implants

Holistic Dentistry

Smile Rejuvenation

Sleep Dentistry, Sedation Dentistry

Dental Extreme Makeover

Full-Mouth    Reconstruction

Cosmetic Dentistry

Porcelain Veneers

Tooth Bonding

Teeth-Whitening

TMJ / Myofacial Pain

Invisalign

sitelinks

 

 
Santa Monica Cosmetic Dentistry
Santa Monica Sedation Dentistry
Santa Monica Porcelain Veneers
Santa Monica Da Vinci Veneers
Santa Monica General Dentistry
Santa Monica Teeth Whitening
Santa Monica Zoom Dentist
Santa Monica Brite Smile Dentist
Santa Monica Smile Makeover Dentist
Santa Monica Dental Implants
Santa Monica Neuro Muscular Dentistry
Santa Monica Crowns & Bridges
Santa Monica Root Canal Treatment
Tooth Colored Fillings
Los Angeles TMJ Dentist
Complete & Partial Dentures in Santa Monica
Gum Disease Dentist in Santa Monica
Dental Bonding Dentist in Santa Monica
Digital Imaging
Laser Surgery Dentist in Santa Monica
Mercury Free Fillings in Santa Monica
Nitrous Oxide

 

 

Santa Monica Dentist Home Page | Richard Haber DDS Santa Monica Cosmetic Dentist | Los Angeles Dental Services | Dentistry  | Appointments | Map & Directions | Contact | Site Map

General Dentistry | Cosmetic Dentistry | Complete Partial Dentures | Crowns & Bridges | Implants Dentist | porcelain-veneers Dentist | Teeth Whitening Dentist | TMJ Treatment | Tooth Colored Fillings | Root Canal | Gum Disease | Zoom Dentist | Britesmile Dentist | Dental Bonding Dentist | Sedation Dentistry | Nitrous Oxide | Mercury Free Fillings | Digital Imaging Dentist | Laser Surgery Dentist

 

 

 

 

Serving: West Los Angeles, Beverly Hills, Brentwood, Santa Monica and the greater Los Angeles area
 

 

Santa Clarita Valley:
Canyon Country dentist
Castaic dentist

Newhall dentist
Santa Clarita dentist
Saugus dentist
Valencia dentist

Los Angeles dentist

West Los Angeles:
Baldwin Hills dentist
Bel Air dentist
Beverly Hills dentist
Beverly Hills Post Office
Beverlywood dentist
Brentwood dentist

Century City dentist
Cheviot Hills dentist
Culver City dentist
Eagle Rock dentist
Echo Park dentist
Hancock Park dentist
Hollywood dentist
Hollywood Hills dentist

Holmby Hills dentist
Inglewood dentist

Los Angeles dentist
Ladera Heights dentist
Los Feliz dentist
Malibu dentist
Mar Vista dentist
Marina Del Rey dentist

Mid Wilshire dentist
Miracle Mile dentist

Pacific Palisades dentist
Palms dentist

Playa Del Rey dentist
Rancho Park dentist
Santa Monica dentist
Silver Lake dentist
Sunset Strip dentist
Venice dentist
West Hollywood dentist
West LA dentist
West Los Angeles dentist
Westchester dentist

Westwood dentist
Wilshire West dentist

 

Long Beach,
S.E. LA County:

Artesia dentist
Avalon dentist

Bellflower dentist
Cerritos dentist

Downey dentist
Hawaiian Gardens dentist
La Mirada dentist
Lakewood dentist

Los Angeles dentist
Long Beach dentist
Lynwood dentist
Norwalk dentist
Pico Rivera dentist

Santa Fe Springs
Signal Hill dentist
Whittier dentist
 

San Gabriel Valley:
Alhambra dentist
Arcadia dentist
Azusa dentist
Baldwin Park dentist
City of Industry
Claremont dentist
Covina dentist

Diamond Bar dentist
Duarte dentist
El Monte dentist
Glendora dentist
Irwindale dentist

La Puente dentist
La Verne dentist

Monrovia dentist
Montebello dentist
Monterey Park dentist
Pasadena dentist

Pomona dentist
Rosemead dentist
San Dimas dentist
San Gabriel dentist
San Marino dentist
Sierra Madre dentist
South El Monte
South Pasadena dentist
Temple City dentist
Walnut dentist
West Covina dentist

 

Cudahy dentist
La Habra Heights
Lancaster dentist
Los Angeles dentist
 

San Fernando Valley:
Agoura Hills dentist
Agua Dulce dentist
Altadena dentist

Bell Canyon dentist
Burbank dentist
Calabasas dentist
Canoga Park dentist
Chatsworth dentist
Encino dentist
Glendale dentist
Granada Hills dentist

Hidden Hills dentist
La Canada Flintridge
La Crescenta dentist

Mission Hills dentist
Montrose dentist
North Hollywood dentist
Northridge dentist

Oak Park dentist
Pacoima dentist
Panorama City dentist
Reseda dentist
San Fernando dentist
Sherman Oaks dentist
Studio City dentist
Sun Valley dentist
Sylmar dentist
Tarzana dentist

Toluca Lake dentist
Topanga dentist

Tujunga dentist
Universal City dentist
Van Nuys dentist

Verdugo City dentist
West Hills dentist
Westlake Village dentist
Winnetka dentist
Woodland Hills dentist

Los Angeles dentist

 

.
 

 

 

Richard Haber DDS 

Cosmetic Dentist Santa Monica dentist Porcelain Veneers Dental Implants

 

Serving:

Santa Monica, Malibu, Pacific Palisades, West Los Angeles, Marina Del Rey, Brentwood, Westwood, Beverly Hills

cosmetic dentistry

1260  15th St  # 701  Santa Monica  CA 90404   Tel: (310) 393-7766